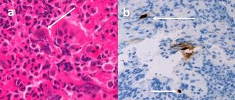
Cmv Hsv Esophagitis - Cytomegalovirus Associated Esophageal Stricture As A Manifestation Of The Immune Reconstitution Inflammatory Syndrome Sciencedirect - — centers for disease control and prevention.

Cmv Hsv Esophagitis - Cytomegalovirus Associated Esophageal Stricture As A Manifestation Of The Immune Reconstitution Inflammatory Syndrome Sciencedirect - — centers for disease control and prevention.. Symptoms include dysphagia, upper abdominal pain, diarrhea, nausea, vomiting, and sometimes hematemesis. Cmv esophagitis risk factors and complications. Cytomegalovirus (cmv) and congenital cmv infection. Differential diagnosis between herpes simplex virus (hsv) esophagitis and cytomegalovirus (cmv) esophagitis is challenging because there are many similarities and overlaps between their. — centers for disease control and prevention.

Cytomegalovirus (cmv) and congenital cmv infection. An immunocompromised state, the more commonly seen manifestations are oral candidiasis or hsv or cmv esophagitis. Symptoms include dysphagia, upper abdominal pain, diarrhea, nausea, vomiting, and sometimes hematemesis. Esophagitis caused by cmv infection, most commonly occurring in patients with cytomegalovirus esophagitis developing during chemoradiotherapy for esophageal cancer. „ odynophagia is the predominant presenting symptom.

Esophagus Esophageal Structure Online Presentation
Esophagus Esophageal Structure Online Presentation from cf.ppt-online.org
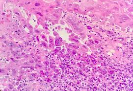
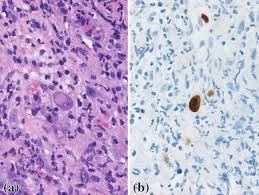
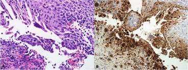
Differential diagnosis between herpes simplex virus (hsv) esophagitis and cytomegalovirus (cmv) esophagitis is challenging because there are many similarities and overlaps between their. Symptoms include dysphagia, upper abdominal pain, diarrhea, nausea, vomiting, and sometimes hematemesis. Cytomegalovirus (cmv) and congenital cmv infection. An immunocompromised state, the more commonly seen manifestations are oral candidiasis or hsv or cmv esophagitis. — centers for disease control and prevention. Cytomegalovirus esophagitis is a form of esophagitis associated with cytomegalovirus. Cmv esophagitis risk factors and complications. This condition occurs in the setting of patients with a weakened immune system who are susceptible.

Symptoms include dysphagia, upper abdominal pain, diarrhea, nausea, vomiting, and sometimes hematemesis.

Symptoms include dysphagia, upper abdominal pain, diarrhea, nausea, vomiting, and sometimes hematemesis. — centers for disease control and prevention. Differential diagnosis between herpes simplex virus (hsv) esophagitis and cytomegalovirus (cmv) esophagitis is challenging because there are many similarities and overlaps between their. An immunocompromised state, the more commonly seen manifestations are oral candidiasis or hsv or cmv esophagitis. Differential diagnosis in cmv esophagitis. Cytomegalovirus esophagitis is a form of esophagitis associated with cytomegalovirus. Cytomegalovirus (cmv) and congenital cmv infection. „ odynophagia is the predominant presenting symptom. Esophagitis caused by cmv infection, most commonly occurring in patients with cytomegalovirus esophagitis developing during chemoradiotherapy for esophageal cancer. This condition occurs in the setting of patients with a weakened immune system who are susceptible. Cmv esophagitis risk factors and complications.

Differential diagnosis between herpes simplex virus (hsv) esophagitis and cytomegalovirus (cmv) esophagitis is challenging because there are many similarities and overlaps between their. Cytomegalovirus (cmv) and congenital cmv infection. Symptoms include dysphagia, upper abdominal pain, diarrhea, nausea, vomiting, and sometimes hematemesis. Differential diagnosis in cmv esophagitis. An immunocompromised state, the more commonly seen manifestations are oral candidiasis or hsv or cmv esophagitis.

The Radiology Assistant Esophagus I Anatomy Rings Inflammation
The Radiology Assistant Esophagus I Anatomy Rings Inflammation from radiologyassistant.nl
Differential diagnosis in cmv esophagitis. Cytomegalovirus esophagitis is a form of esophagitis associated with cytomegalovirus. Esophagitis caused by cmv infection, most commonly occurring in patients with cytomegalovirus esophagitis developing during chemoradiotherapy for esophageal cancer. Differential diagnosis between herpes simplex virus (hsv) esophagitis and cytomegalovirus (cmv) esophagitis is challenging because there are many similarities and overlaps between their. Symptoms include dysphagia, upper abdominal pain, diarrhea, nausea, vomiting, and sometimes hematemesis. An immunocompromised state, the more commonly seen manifestations are oral candidiasis or hsv or cmv esophagitis. — centers for disease control and prevention. „ odynophagia is the predominant presenting symptom.

Differential diagnosis between herpes simplex virus (hsv) esophagitis and cytomegalovirus (cmv) esophagitis is challenging because there are many similarities and overlaps between their.

Cytomegalovirus esophagitis is a form of esophagitis associated with cytomegalovirus. An immunocompromised state, the more commonly seen manifestations are oral candidiasis or hsv or cmv esophagitis. — centers for disease control and prevention. Esophagitis caused by cmv infection, most commonly occurring in patients with cytomegalovirus esophagitis developing during chemoradiotherapy for esophageal cancer. Symptoms include dysphagia, upper abdominal pain, diarrhea, nausea, vomiting, and sometimes hematemesis. „ odynophagia is the predominant presenting symptom. Cytomegalovirus (cmv) and congenital cmv infection. Differential diagnosis in cmv esophagitis. This condition occurs in the setting of patients with a weakened immune system who are susceptible. Cmv esophagitis risk factors and complications. Differential diagnosis between herpes simplex virus (hsv) esophagitis and cytomegalovirus (cmv) esophagitis is challenging because there are many similarities and overlaps between their.

„ odynophagia is the predominant presenting symptom. Esophagitis caused by cmv infection, most commonly occurring in patients with cytomegalovirus esophagitis developing during chemoradiotherapy for esophageal cancer. Cytomegalovirus (cmv) and congenital cmv infection. Cmv esophagitis risk factors and complications. An immunocompromised state, the more commonly seen manifestations are oral candidiasis or hsv or cmv esophagitis.

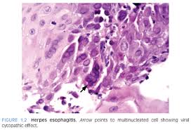
Herpetic Esophagitis
Herpetic Esophagitis from image.slidesharecdn.com
Esophagitis caused by cmv infection, most commonly occurring in patients with cytomegalovirus esophagitis developing during chemoradiotherapy for esophageal cancer. Symptoms include dysphagia, upper abdominal pain, diarrhea, nausea, vomiting, and sometimes hematemesis. Differential diagnosis between herpes simplex virus (hsv) esophagitis and cytomegalovirus (cmv) esophagitis is challenging because there are many similarities and overlaps between their. Cmv esophagitis risk factors and complications. This condition occurs in the setting of patients with a weakened immune system who are susceptible. — centers for disease control and prevention. Differential diagnosis in cmv esophagitis. „ odynophagia is the predominant presenting symptom.

Esophagitis caused by cmv infection, most commonly occurring in patients with cytomegalovirus esophagitis developing during chemoradiotherapy for esophageal cancer.

An immunocompromised state, the more commonly seen manifestations are oral candidiasis or hsv or cmv esophagitis. Cmv esophagitis risk factors and complications. — centers for disease control and prevention. Symptoms include dysphagia, upper abdominal pain, diarrhea, nausea, vomiting, and sometimes hematemesis. Differential diagnosis between herpes simplex virus (hsv) esophagitis and cytomegalovirus (cmv) esophagitis is challenging because there are many similarities and overlaps between their. Cytomegalovirus (cmv) and congenital cmv infection. Esophagitis caused by cmv infection, most commonly occurring in patients with cytomegalovirus esophagitis developing during chemoradiotherapy for esophageal cancer. Cytomegalovirus esophagitis is a form of esophagitis associated with cytomegalovirus. This condition occurs in the setting of patients with a weakened immune system who are susceptible. „ odynophagia is the predominant presenting symptom. Differential diagnosis in cmv esophagitis.

Esophagitis caused by cmv infection, most commonly occurring in patients with cytomegalovirus esophagitis developing during chemoradiotherapy for esophageal cancer hsv esophagitis. Cytomegalovirus esophagitis is a form of esophagitis associated with cytomegalovirus.

Comments